武汉普诺赛生命科技有限公司品牌商

13

手机商铺

qrcode
商家活跃:
产品热度:
  • NaN
  • 0.7000000000000002
  • 0.7000000000000002
  • 2.7
  • 2.7
文献支持
NCI-H292细胞 (人肺癌细胞(淋巴结转移) (STR鉴定正确)
¥1500
品牌商

武汉普诺赛生命科技有限公司

入驻年限:13

  • 联系人:

    章臣雄

  • 所在地区:

    湖北 武汉市 洪山区

  • 业务范围:

    试剂、技术服务、细胞库 / 细胞培养

  • 经营模式:

    生产厂商

在线沟通

公司新闻/正文

细胞学堂|肺泡上皮细胞知识盘点

3947 人阅读发布时间:2023-08-23 14:42

肺中的支气管经多次反复分枝成无数细支气管,它们的末端膨大成囊,囊的四周有很多突出的小囊泡,即为肺泡。肺泡或肺的气体交换表面由 I 型肺泡上皮(ATⅠ,AT1)、II型肺泡上皮(ATⅡ,AT2)和微血管内皮细胞组成。

其中,ATⅠ细胞又称小肺泡细胞,其主要作用是参与构成气血屏障、进行气体交换;ATⅡ细胞又称大肺泡细胞,是肺泡上皮中的祖细胞,具有很强的增殖和分化潜能,可分化成ATⅠ,在维持肺脏稳态以及肺损伤修复过程中起着至关重要的作用。

 

图片

图1 肺泡模式图

 

图片

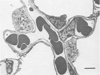
图2 肺泡细胞的外观:上皮I型细胞(I)、上皮II型细胞(II)和毛细血管内皮细胞(E)(bar=4μm)

 

1、什么是Ⅰ型肺泡上皮细胞?

传统的观点认为ATⅡ是肺泡上皮中具有生物学活性的细胞,而终末分化的ATⅠ只是被动地参与气血屏障的形成,不增殖,也不具有可塑性。但最近的研究发现ATⅠ可能不只是传统意义上的终末分化细胞,而具有多样的生物学功能,并在损伤修复过程中发挥一定作用[3]。虽然ATⅠ数量只占全肺总细胞数的8%,但却覆盖了95%~98%的肺泡表面积,是其中最大的细胞之一,平均体积为1,764 μm3。ATⅠ参与气血屏障的形成,对于正常的换气功能非常重要。由于ATⅠ易破裂,缺少生物学标记,分离相对困难,因此目前针对ATⅠ的研究主要采用由ATⅡ分化而来的ATⅠ样细胞,但其生物学特性与ATⅠ细胞存在一定差异。

 

2、什么是Ⅱ型肺泡上皮细胞?

Ⅱ型肺泡上皮细胞(typeⅡ alveolar epithelial cells,ATⅡ)是由内胚层衍生的多功能极化上皮细胞,存在于成年哺乳动物的肺部远端,与Ⅰ型肺泡上皮细胞偶联镶嵌排列,形成肺泡囊,参与呼吸膜的形成。ATⅡ虽仅占肺泡表面积的7%,但却占实质肺泡细胞总数的16%,平均体积为I型肺细胞的一半,可通过分泌大量的表面活性物质,从而减低肺泡表面张力。另外,其还可参与肺部的炎症反应、免疫反应、细胞外基质(extracellular matrix,ECM)调节和损伤修复等多种生物学活动。

 

Ⅱ型肺泡上皮细胞的鉴定:

肺表面活性蛋白C(surfactant protein C,SP-C)基因是目前被发现的唯-一仅在肺泡Ⅱ型上皮细胞中表达的肺表面活性蛋白基因,也是鉴定ATⅡ细胞最-常用的标记物。此外,至少对于小鼠,有报道称,一部分SP-C(+)ATⅡ细胞也被发现表达低水平的Clara/Club细胞基因Scgb1a1/CC10,这些双阳性细胞能够分化成ATⅠ细胞。因此,CC10的共存表达并不绝对排除作为ATⅡ细胞的识别[2]

 

图片

图3 Ⅱ型肺泡上皮细胞的鉴定

图3[A]:从分化的人类胎儿外植体中制备的人类ATⅡ细胞在培养4天后使用尼罗红进行脂质染色以识别层状体(LB);"N"=原子核。

图3[B]:来自正常成人肺的人ATⅡ细胞的透射电子显微照片,显示含有致密核心颗粒的形成良好的 LB (LB→)。此外,还鉴定出了多泡体(MVB)和微绒毛(mv)。

图3[C]:对[A]中制备的人ATⅡ细胞单层进行免疫组化,使用抗NPROSP-C(红色)和DAPI(细胞核)对proSP-C进行染色,显示点状胞质染色,表明proSP-C后高尔基体运输到LB。

图3[D]:使用新鲜分离的小鼠ATⅡ的proSP-C抗血清进行蛋白质印迹,显示21 kD proSP-C初级翻译产物(箭头)和低分子量加工中间体(括号)。

图3[E]:使用SP-B抗血清对按照A和C中制备的两种单独的人ATⅡ细胞制剂进行蛋白质印迹。proSP-B初级翻译产物(粗箭头)、25kD 中间体(细箭头)和成熟SP-B(括号)被识别。此外,二聚体成熟的SP-B(箭头)也出现了。[2]

 

原代肺泡上皮细胞的分离培养:

 

1、取完-全无血液残留的肺脏组织

2、消化肺组织

常用消化酶: 胰蛋白酶、弹性蛋白酶、胶原酶;

经支气管将酶灌注到完整的肺中消化,或把肺组织剪碎放入消化液中消化(前者比后者更有效)。

3、分离纯化细胞

原代肺泡上皮细胞分离纯化主要方法:

 

01  密度梯度离心法

不同细胞的沉降系数不同,在密度梯度离心中细胞所处的位置也相应不同。用ficoll或percoll不连续梯度离心法分离肺泡Ⅱ型上皮细胞。
 

02  流式细胞技术法

根据不同细胞之间的荧光差异,用荧光物质标记筛选。肺泡上皮细胞内含有丰富的脂类物质,用亲脂性荧光素标记,可以得到纯度很高的细胞。该方法分离细胞的产量很低,但纯度极-高。


03  免疫黏附法

不同细胞的沉降系数不同,在密度梯度离心中细胞所处的位置也相应不同。用ficoll或percoll不连续梯度离心法分离肺泡Ⅱ型上皮细胞。
 

04  贴壁选择法

肺泡上皮细胞完成贴壁的时间不同,利用这种特性在肺泡上皮细胞培养时做筛选。

 

参考文献●

[1] Crapo JD, Barry BE, Gehr P, Bachofen M, Weibel ER. Cell number and cell characteristics of the normal human lung. Am Rev Respir Dis. 1982 Aug;126(2):332-7. doi: 10.1164/arrd.1982.126.2.332. PMID: 7103258.

[2] Beers MF, Moodley Y. When is an alveolar type 2 cell an alveolar type 2 cell? a conundrum for lung stem cell biology and regenerative medicine[J]. Am J Respir Cell Mol Biol, 2017, 57(1):18-27

[3] Downs CA, Montgomery DW, Merkle CJ. Cell culture models using rat primary alveolar type I cells. Pulm Pharmacol Ther. 2011 Oct;24(5):577-86. doi:10.1016/j.pupt.2011.05.005. Epub 2011 May 23. PMID: 21624488; PMCID: PMC3205456.

[4] 李勇,杜娟,余静等.大鼠Ⅰ型肺泡上皮细胞的分离、培养及生物学特性研究[J].解-放军医学杂志,2014,39(05):374-378.

 

 

 

     

上一篇

开学大促 | 新学期这么买,不花冤枉钱

下一篇

文献解读|开发共价核酸适体用于新冠病毒的检测和抑制

更多资讯

我的询价