武汉普诺赛生命科技有限公司品牌商

13

手机商铺

qrcode
商家活跃:
产品热度:
  • NaN
  • 0.7000000000000002
  • 0.7000000000000002
  • 2.7
  • 2.7
文献支持
HUV-EC-C [HUVEC]细胞专用培养基
¥2680
品牌商

武汉普诺赛生命科技有限公司

入驻年限:13

  • 联系人:

    章臣雄

  • 所在地区:

    湖北 武汉市 洪山区

  • 业务范围:

    试剂、技术服务、细胞库 / 细胞培养

  • 经营模式:

    生产厂商

在线沟通

公司新闻/正文

细胞学堂|MKN-45细胞培养知识总结

1942 人阅读发布时间:2023-09-11 16:27

MKN-45细胞由Hojo H建立,源于日本一位62岁低分化胃腺癌女性患者的肝转移灶,广泛应用于癌症检测和治疗的相关研究中。

 

本期细胞学堂为您整理了MKN-45细胞的形态、结构和培养方法,帮助大家快速上手开展实验~

 

细胞形态

MKN-45细胞呈半贴壁半悬浮生长,部分松散堆积,细胞排列不规则,生长中的细胞边缘也不明确。

图片

MKN-45细胞系相差显微图[1]

 

图片

MKN-45细胞显微镜图

 

图片

MKN-45细胞显微镜图

 

图片

MKN-45细胞显微镜图,100X

 

超微结构

扫描电镜显示MKN-45细胞相当扁平,细胞表面有大量的微绒毛,细胞边缘有长线状的细胞质突起,相邻的细胞呈桥粒连接。

图片

MKN-45细胞扫描电镜图[1]

 

图片

MKN-45细胞扫描电镜图[1]

 

裸鼠成瘤

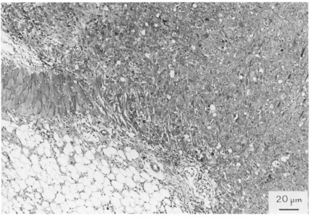
裸鼠荷瘤实验,即将细胞或组织通过原位或皮下移植到裸鼠体内形成经常溃疡的肿瘤,观察肿瘤的形成、发展及抗肿瘤药物的效果。MKN-45为该实验的常用细胞株。

将MKN-45细胞皮下移植到裸鼠体内后,MKN-45异种移植物显示侵袭性生长到宿主动物的皮下肌肉。

图片

无胸腺裸鼠皮下MKN-45肿瘤[1]

 

培养方法

MKN-4细胞为半贴壁半悬浮细胞,需分悬浮细胞和贴壁细胞两部分处理。

 

悬浮细胞部分

直接收集培养基至离心管中1200rpm/min离心3min。


贴壁细胞部分

按照贴壁细胞的方式消化处理:

1、加入2mL左右PBS,轻轻晃动培养瓶润洗细胞,吸出PBS(含有少量悬浮细胞,可转移至收集了悬浮细胞的离心管中离心);

2、加入1mL左右0.25%含EDTA的胰酶,轻轻晃动培养瓶使之浸润所有细胞;

3、放入培养箱消化,消化3-5min,显微镜下看到细胞中间的细胞明显分离变圆,侧立培养瓶细胞可以滑落时可终止消化(消化时间主要看消化状态,如果没有变圆,侧立时不能滑落时,可适当延长30-60s),全程不要拍打培养瓶;

4、加入3mL含血清的培养基终止消化,吹打细胞使之脱壁并在液体里反复吹打使细胞尽量呈单颗细胞的悬浮液;

5、收集细胞悬液,1200rpm/min离心3分钟,离心后吸出上清丢弃。

 

技巧与注意事项

 

01  由于细胞半贴壁半悬浮细胞,所以在消化传代的时候需要注意收集漂浮的细胞,否则会造成细胞丢失;

02  如遇悬浮部分大块聚团,则需要将悬浮部分收集到离心管离心后,加入胰酶进行消化处理,避免细胞团块增多影响生长。

 

具体操作步骤如下:

1、将培养瓶内所有培养基转入无菌离心管,离心(1200rpm 3min)后收集细胞;

2、去掉上清,用PBS重悬细胞,将细胞收集到一个离心管中;

3、离心后去掉上清,加入1mL左右0.25%胰酶重悬混匀细胞,振动离心管混匀即可,不能吹打,放入培养箱消化细胞(2~3分钟,根据细胞特性决定消化时间);

4、消化一段时间后,用移液枪轻轻吹打细胞悬液,使细胞团分散;

5、加入5mL含血清的培养基混匀后终止消化,离心(1200rpm 3min)。

6、收集细胞沉淀,与贴壁消化下来的部分细胞混合后分瓶接种。

 

参考文献●

[1] M. Sekiguchi, T. Suzuki.11 - Gastric Tumor Cell Lines.

https-://doi.org/10.1016/B978-0-12-333530-2.50014-9.

 

上一篇

省钱预警 | 比秋天先到的,是血清买10送1

下一篇

开学大促 | 新学期这么买,不花冤枉钱

更多资讯

我的询价