13 年
手机商铺
公司新闻/正文
2050 人阅读发布时间:2024-07-23 13:45
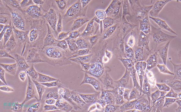
细胞中的空泡是指在光学显微镜下清晰可见的一种泡状结构,其光学特性与细胞质形成鲜明对比。当细胞内部出现这种具有独-特光学特征的泡状结构时,我们称之为细胞空泡化现象。
本期细胞学堂,我们就来聊一聊细胞空泡化现象产生原因以及如何解决。
细胞空泡的来源
细胞空泡的来源广泛,主要源自细胞内的多种膜结构细胞器,如线粒体、内质网、溶酶体、高尔基体等。这些细胞器在特定的生理或病理条件下,可能经历一系列复杂的生物化学过程,都可能导致细胞内部形成空泡。

图1. 光学显微镜下的细胞空泡
细胞产生空泡的原因及解决办法
1、细胞老化
在原代细胞培养的过程中,由于细胞老化而出现空泡的情况较为常见。原代细胞体外增殖能力有限,当细胞在体外培养时间过长,会因自发老化而产生空泡,甚至导致细胞死亡。同样的,对于细胞系来说,随着传代次数的不断增加,细胞也可能因老化而产生空泡。
-解决方法-
对于原代细胞,建议使用较低代次的细胞实验,并尽量避免长时间的体外培养,以减少细胞老化和空泡形成的风险;对于细胞系,应严格控制传代次数,避免使用高代次细胞,以防止细胞因过度传代而老化,进而产生空泡等问题。
2、更换培养基或血清或培养基理化性质改变
更换细胞使用的培养基或血清,细胞可能会出现不适应的情况,导致空泡的产生;细胞培养所用的培养基,若因配制错误、储存不当、过期仍使用或是血清质量不过关等,均可能引发培养基的理化性质如pH、渗透压等发生改变,进而影响细胞状态,甚至导致细胞出现空泡。
-解决方法-
细胞刚到货时不建议直接更换培养基和血清,为了避免细胞不适应,可以将原瓶培养基和自配培养基过渡使用。
配制新鲜培养基,并调整到合适的pH和渗透压,再进行细胞培养。推荐您使用普诺赛®细胞培养基,产品种类齐全,拥有严格的质控体系,并可根据需求提供定制化服务,帮助您有效规避因培养基质量问题导致的细胞空泡化甚至死亡的风险。
3、细胞消化不当
在处理如贴壁细胞等需要消化的细胞时,解离试剂的选择、消化时间的控制、操作力度的把握等都至关重要。解离试剂选择不当,消化时间过长或操作力度过大等均可能导致细胞受损,进而引发细胞空泡的产生。
-解决方法-
针对不同细胞选择合适的解离试剂、控制消化时间,在消化过程中操作轻柔,最-大程度降低消化过程对细胞的损伤。推荐您使用普诺赛®细胞解离试剂,产品种类众多,总有一款满足您的细胞消化需求。
4、传代或换液不及时
细胞长满后未及时传代或细胞长时间未换液,会导致培养过程中细胞代谢副产物的累积和营养物质的耗尽,可能诱导细胞自噬的发生,进而细胞出现空泡化。
-解决方法-
定期观察细胞生长状态,及时传代和换液。通常细胞汇合度80%左右时传代,2~3天需更换一次新鲜培养基。
5、细胞污染
在细胞培养的过程中,若出现细菌、支原体、黑胶虫等污染,将会导致细胞状态明显变差,并可能引发细胞产生空泡等异常现象。
-解决方法-
细胞培养过程中,增强无菌操作意识,使用无菌试剂、耗材。对于支原体、黑胶虫等不易察觉的污染,可以定期检测或空培确定是否发生污染。及时发现,及时处理,有效防止污染范围的扩大。
6、细胞药物处理
在细胞实验中,研究人员可能会加入特定的药物(如氯喹、氨基糖苷类抗生素、细胞凋亡诱导剂等)对细胞进行诱导处理。这些药物通过影响细胞的代谢过程诱导细胞发生特定的生物学变化,但也可能产生细胞毒性,进而可能导致细胞内出现空泡甚至引发细胞死亡。
-解决方法-
在使用药物进行细胞诱导处理时,可根据实验设计需要,调整药物的浓度和处理时间,降低药物对细胞的毒性作用。
细胞空泡化是否可逆
细胞空泡化是否可逆主要取决于空泡形成的原因和细胞状态。具体而言:
如果空泡形成是由短期的培养环境变化(如温度波动、运输过程中的刺激等)所诱发的细胞应激反应,当不利因素消除时并恢复细胞至其适宜的生长环境后,细胞可能会恢复到正常的形态和功能。
如购买常温发货的细胞,因快递运输刺激,细胞到货时可能出现空泡(见图2)。恢复正常培养条件并稳定传代后,细胞空泡会消失(见图3)。

图2. MC3T3-E1 Subclone 14细胞经过快递运输刺激收货时细胞状态

图3. MC3T3-E1 Subclone 14细胞稳定传代后
当细胞因状态变差、培养条件改变、污染等不利因素而出现空泡化时,意味着细胞的结构和功能已经遭受了严重的破坏,其空泡化过程往往呈现出不可逆性,最终可能导致细胞死亡。

普诺赛®细胞培养基

普诺赛®细胞解离试剂
以上就是关于细胞空泡产生原因及解决方法详解,更多细胞培养干货,请持续关注公众号细胞学堂专栏~