13 年
手机商铺
公司新闻/正文
807 人阅读发布时间:2024-12-31 14:56
在细胞培养中,血清作为不可或缺的关键试剂,对细胞的生长状态具有直接影响。因此,正确选择和使用血清至关重要。
本期细胞学堂将全面探讨血清的各个方面,深入分析选择血清的考量要点,并探讨血清在细胞培养中遇到的常见问题,如血清的储存和解冻、血清与微生物污染的关系、血清絮状物析出的原因等,同时提供解决方案,助您的实验更顺畅。
01 血清的简介及分类
血清是什么?
血清是指血液凝固后,从血浆中除去纤维蛋白原及某些凝血因子后分离出的淡黄色透明液体,或指已经去除纤维蛋白原的血浆(见图1)。在细胞培养中,动物血清因其富含多种营养成分,对细胞生长至关重要,因此被广泛应用。

图1. 全血、血浆和血清示意图
血清的分类有哪些?
动物血清根据动物种属的不同,可分为牛血清、马血清、鸡血清、兔血清、猪血清等。其中,牛源血清尤为常见,且根据采血牛的年龄不同,可分为胎牛血清、新生牛血清、小牛血清和供体血清(见表1)。胎牛血清因其独特的优势,如低抗体水平和高生长因子含量等,在细胞培养中表现出明显优势,但其价格也相对较高。为了满足多样化的实验需求,市面上推出了多种类型的胎牛血清,如天然低IgG胎牛血清、干细胞专用胎牛血清以及透析型胎牛血清等。
表1 牛血清类别与胎龄对应关系如下
|
No. |
牛血清类别 |
胎龄 |
|
1 |
胎牛血清(FBS) |
胎儿(母牛怀孕3-8个月) |
|
2 |
新生牛血清(NBS/NCS) |
NBS严格:出生24 h内 NCS宽泛:出生14日内 |
|
3 |
小牛血清(CS) |
16-22周 |
|
4 |
供体血清 |
成年牛 |
血清在细胞培养中至关重要。鉴于不同实验对血清的需求不同,建议根据实验需要选择适合的血清类型。必要时,也可针对特定细胞进行血清筛选试验,以筛选出最适合的血清。然而,近年来无血清培养基正逐渐兴起。无血清培养基通过添加生长因子等模拟血清功能,避免了血清的批次差异和潜在污染问题,因此被认为是未来细胞培养的必然趋势。
02 血清的作用及选择
血清在细胞培养中的重要性不容忽视。它不仅是细胞生长的必备营养成分,还对细胞的状态和功能有重要影响。其主要作用包括以下几点:提供细胞生长所必需的基本营养物质,如氨基酸、维生素、无机物、脂类物质、核酸衍生物等;提供激素和各种生长因子,支持细胞的生长和增殖;提供结合蛋白,通过结合蛋白携带重要的低分子量物质,确保它们在细胞内外正确传递;为细胞提供一定的保护作用,如防止外界环境的损伤,为细胞营造一个相对稳定的生长环境。
在细胞培养时,选择适合的血清对细胞生长至关重要。选择血清时需综合考虑以下因素:
细胞特性
不同类型的细胞对血清种类需求不同。大多数细胞培养更适合使用牛血清,特别是胎牛血清(FBS)。但对于某些细胞,如MCF 10A、NK-92、PC-12(未分化)等,通常建议使用含有马血清的培养基。此外,不同类型细胞对血清的浓度需求也有所不同。通常,血清使用的浓度范围为10-20%,但对于某些细胞类型,如人支气管上皮细胞、大鼠胰腺导管上皮细胞等,常使用含2% FBS的培养基培养。
实验需求
在选择血清时,需要根据实验的具体需求选择合适的血清,特别是其营养成分和生长因子的种类及含量是否满足所培养细胞的需求。有些类型细胞,除了添加血清外,还要格外添加生长因子或抑制剂来调节细胞的生长行为,如大鼠破骨细胞、小鼠肺微血管内皮细胞等。即使是同一细胞,如BEAS-2B细胞,其血清需求也会因实验需求的不同而有所变化。因此,是否使用含血清培养基需根据实验需求来决定。在含有血清的培养基中,BEAS-2B保留了对血清反应进行鳞关分化的能力,细胞在密度较低时呈长梭型(见图2),随着密度的增加,形态会变短。相反,在不含血清的培养基(BEBM支气管上皮细胞生长培养基)中,BEAS-2B细胞会呈现典型的呼吸上皮细胞多边形态(见图3)。

图2. BEAS-2B在DMEM培养基(含10%血清)

图3. BEAS-2B在BEGM培养基(不含血清)中的培养
热灭活的主要作用是降低血清中补体成分的活性,甚至使其完全失活。在某些特定情况下,为避免补体蛋白干扰细胞生长和功能,要使用热灭活处理后的血清来培养细胞[1-3]。然而,热灭活过程可能导致血清中产生一些沉淀,消耗其中的营养物质,影响细胞生长。因此,通常不建议对血清进行热灭活。
血清品质
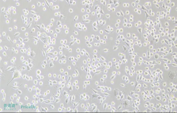
不同厂家的血清来源、生产工艺和包装运输等都有差异,建议选择知名品牌和质量稳定的血清。由于动物血清的成分复杂,即使是同一厂家,不同批次之间的差异也可能会影响细胞的增殖和形态。如L-929细胞培养更换不同批次血清后,细胞形态有明显差异(见图4)。因此,建议选定血清品牌后,尽量避免更换,并适当储备同一批次的血清以减少批次差异对细胞培养影响。如果必须要更换血清,建议采用梯度替换方法,逐步过渡,以减少对细胞的影响。具体操作如下:首先用25%新血清与75%原血清进行混合,培养传代1-2次;然后用50%新血清与50%原血清混合培养;接着用75%新血清与25%原血清混合培养;最后完全使用新血清培养。

图4. L-929细胞刚更换血清(左),一周后(右)
03 使用血清常见问题分析
血清保存
血清通常需要在-20℃或-80℃条件下进行长期冷冻保存。若保存不当,可能会导致血清质量降低,从而对实验结果产生不良影响。对于每次使用量较少的情况,建议将解冻后的血清分装并重新冻存,以避免因反复冻融而影响血清的品质。解冻后的血清应存放于2-8℃,并尽量在一个月内使用完毕。
血清解冻
血清应在2-8℃条件下缓慢解冻,以防止因温度变化过快导致的品质下降。在解冻过程中,应定时轻轻摇匀,以确保温度均匀分布,防止局部过热,并尽量避免气泡形成,从而减少沉淀的产生。
微生物污染
若血清被细菌、真菌或支原体等微生物污染,会影响细胞的生长。可通过检查外包装是否完好、将血清接种到培养基种观察是否有菌落形成,或使用支原体检测试剂盒等方法确认血清是否被污染。一旦确认血清被污染,由于其品质已无法保证,因此不建议进行任何处理后再继续使用。因此,在使用血清的过程中,应严格遵守无菌操作规程,防止微生物污染。
析出物
血清在解冻过程中可能产生析出物(见图5),这些析出物可能呈现为小黑点或纤维样沉淀。镜下观察有时会看到小黑点呈布朗运动。关于这些析出物的成因,存在多种说法:有人说是“黑胶虫污染”,有人认为是血清原虫或被误判为菌类污染。然而,更为普遍的观点认为,小黑点或纤维样沉淀析出物其实是血清中某些成分,如纤维蛋白、磷酸钙、胆固醇等析出。少量析出物一般不会影响血清的品质,可在37℃温度下轻微溶解(不建议加热)。如血清中析出物较多,可通过离心(400 ×g,3 min)去除。



图5. 血清融解时混匀 (左),血清静置融解不混匀血清沉淀(中),血清静置融解不混匀出现小黑点(右)
血清在细胞培养中扮演着不可或缺的角色,对细胞生长状态具有直接的影响。因此,在选择血清时,我们需要综合考虑细胞特性、实验的具体需求以及血清品质等多种因素,以确保选择到适合的血清。同时,在使用血清的过程中,还需妥善保存和解冻,并严格遵守无菌操作规程,以防止血清被污染。
以上是关于血清的分类、选择和使用常见问题的介绍,更多细胞培养干货,请持续关注细胞学堂专栏~
参考文献
[1] Jin L, Duan Y, Li X, et al. High expression ITGA2 affects the expression of MET, PD-L1, CD4 and CD8 with the immune microenvironment in pancreatic cancer patients. Front Immunol. 2023;14:1209367. Published 2023 Oct 10. doi: 10.3389/fimmu.2023.1209367
[2] Zhang Y, Qiu S, Pang Y, et al. Enriched environment enhances angiogenesis in ischemic stroke through SDF-1/CXCR4/AKT/mTOR pathway. Cell Signal. 2024;124:111464. doi: 10.1016/j.cellsig.2024.111464
[3] Urzì O, Bergqvist M, Lässer C, et al. Heat inactivation of foetal bovine serum performed after EV-depletion influences the proteome of cell-derived extracellular vesicles . J Extracell Vesicles. 2024;13(1):e12408. doi: 10.1002/jev2.12408