武汉普诺赛生命科技有限公司品牌商

13

手机商铺

qrcode
商家活跃:
产品热度:
  • NaN
  • 0.7000000000000002
  • 0.7000000000000002
  • 2.7
  • 2.7
研选
RAW 264.7细胞 (小鼠单核巨噬细胞白血病细胞) (STR鉴定正确)
¥1600
品牌商

武汉普诺赛生命科技有限公司

入驻年限:13

  • 联系人:

    章臣雄

  • 所在地区:

    湖北 武汉市 洪山区

  • 业务范围:

    试剂、技术服务、细胞库 / 细胞培养

  • 经营模式:

    生产厂商

在线沟通

公司新闻/正文

细胞学堂 | RAW 264.7诱导极化及鉴定大全

2846 人阅读发布时间:2023-02-03 13:30

RAW 264.7(小鼠单核巨噬细胞白血病细胞)是破骨细胞、炎症研究最常用的体外模型之一,被广泛用于研究风湿性关节炎、骨质疏松症、骨质溶解、牙周炎等骨骼疾病。

极化方式
巨噬细胞是具有异质性的一类免疫细胞,在体内外不同环境影响下可极化为不同表型参与机体生理、病理反应。从激活方式上分为经典激活的巨噬细胞M1和选择性激活的巨噬细胞M2。

1
M1型分化

细菌和脂多糖(LPS)可以诱导巨噬细胞向M1型分化,产生促炎细胞因子,抵抗病原入侵,但也会造成机体损伤,在实验中可采用2.5ng/mL IFN-γ和200ng/mL LPS共同作用12小时诱导其极化; 新闻图片1
​ 图1. a.RAW 264.7 未分化形态图 b.RAW 264.7 M1型分化形态图

2
M2型分化

白细胞介素(IL-4)可以诱导巨噬细胞向M2型分化,分泌抗炎细胞因子,并在组织修复与重建和肿瘤的形成过程中发挥作用,在实验中可采用10ng/mL IL-4作用12小时诱导其极化。 新闻图片2
​ 图2. RAW 264.7 不同分型形态图

鉴定方法

M1、M2具有各自特征性标志分子,iNOS、CD86、TNF-α是常见的M1型巨噬细胞的标志分子,IL-10、Arg-1、CD206是常见的M2型巨噬细胞标志分子。一般在实验研究中:

1
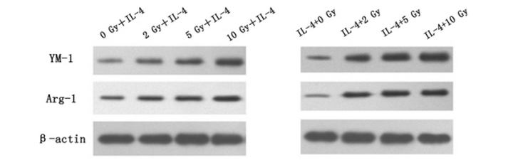
WB可以分析RAW264.7细胞iNOS、YM-1和Arg-1的表达水平(如图3);
新闻图片3
​ 图3. WB分析照射对IL-4诱导的RAW264.7细胞YM-1和Arg-1的表达影响

2
流式细胞术(FCM)可以分析RAW264.7细胞表面CD86和CD206的表达(如图4);
新闻图片4
​ 图4. 流式细胞术分析照射对IL-4诱导的小鼠RAW264.7细胞CD206和CD209的表达

3
实时定量 PCR 和 ELISA 可以分析IL-1β、IL-6、TNF-α、IL-12 及 IL-10 等细胞因子的表达及分泌(如图5);
新闻图片5
​ 图5. 用于实时荧光定量PCR的引物序列

4
Griess reagent 可以分析细胞培养上清 NO 生成(如图6)。
新闻图片6
​ 图6. 不同样品对RAW 264.7中NO产生的影响

参考文献
[1] 罗进芳, 朱瑞丽, 易浪,等. 青藤碱对LPS、IL-4诱导的小鼠RAW264.7巨噬细胞极化的影响[J]. 中国免疫学杂志, 2015, 31(1):5.
[2] 陈涛, 梁潇, 贺明,等. RAW264.7细胞M1/M2亚型的诱导和鉴定[J]. 中国分子心脏病学杂志, 2011(2):4.
[3] 解海荣, 李贞, 李海亮 ,等. 不同照射方式对IL-4诱导的小鼠RAW264.7细胞极化的影响. 中国辐射卫生, 2017, 26(6): 637-641.
[4] Li C, Du Y, Lv H, et al. Injectable Amphipathic Artesunate Prodrug-Hydrogel Microsphere as Gene/Drug Nano-Microplex for Rheumatoid Arthritis Therapy[J]. Adv. Funct. Mater. 2022, 32, 2206261.
[5] Li P , Hao Z , Wu J , et al. Comparative Proteomic Analysis of Polarized Human THP-1 and Mouse RAW264.7 Macrophages[J]. Frontiers in Immunology, 2021, 12:700009.
[6] Ji-Eun Lee, Jae Hoon Lee, Byungrok Min,et al. Immunostimulatory effect of egg yolk phosvitin phosphopeptides produced by high-temperature and mild-pressure pretreatment and enzyme combinations in RAW 264.7 cells via TLR2/MAPK signaling pathway[J].Journal of Functional Foods,Volume 98,2022,105264.

上一篇

细胞学堂 | 4T1(小鼠乳腺癌细胞)特性和收货、培养注意事项

下一篇

普诺赛春节发货安排

更多资讯

我的询价